

歯を失ってしまった方に
ぴったりな治療法が「インプラント」。
インプラント治療で、
食事や会話を楽しむ日常を取り戻しましょう。
当院ではインプラント専門の歯科医師による
「切らないインプラント治療」も行っております。


インプラントは、歯を失った部分の顎の骨に人工の歯根を埋め込み、その上に人工歯を取り付ける治療方法です。従来の入れ歯やブリッジとは異なり、顎の骨にしっかりと固定されるため、見た目も自然で、機能的にも優れた結果が期待できます。
インプラントは大きく分けて以下の3つの構造から成り立っています
- インプラント体(人工歯根)
- アバットメント(人工歯と歯根をつなぐ部分)
- 人工歯(被せ物)
これらを組み合わせることで、見た目も自然で、周囲の歯に負担をかけずに機能的にも優れた治療が可能になります。

- 1本でも歯を失った
- 総入れ歯や部分入れ歯を使っている
- 入れ歯を使いたくない
- 入れ歯の手入れが面倒、または苦痛
- 入れ歯が合わず痛みや違和感を感じる
まずは、一度ご相談下さい。
お口の状況を確認し、インプラントが本当に適切なのかも含めてお話をさせていただきます。

インプラント治療全般を院内で完結
インプラントのご相談からインプラント埋入手術、被せ物を装着するところまで一貫して当院で治療が受けられます。

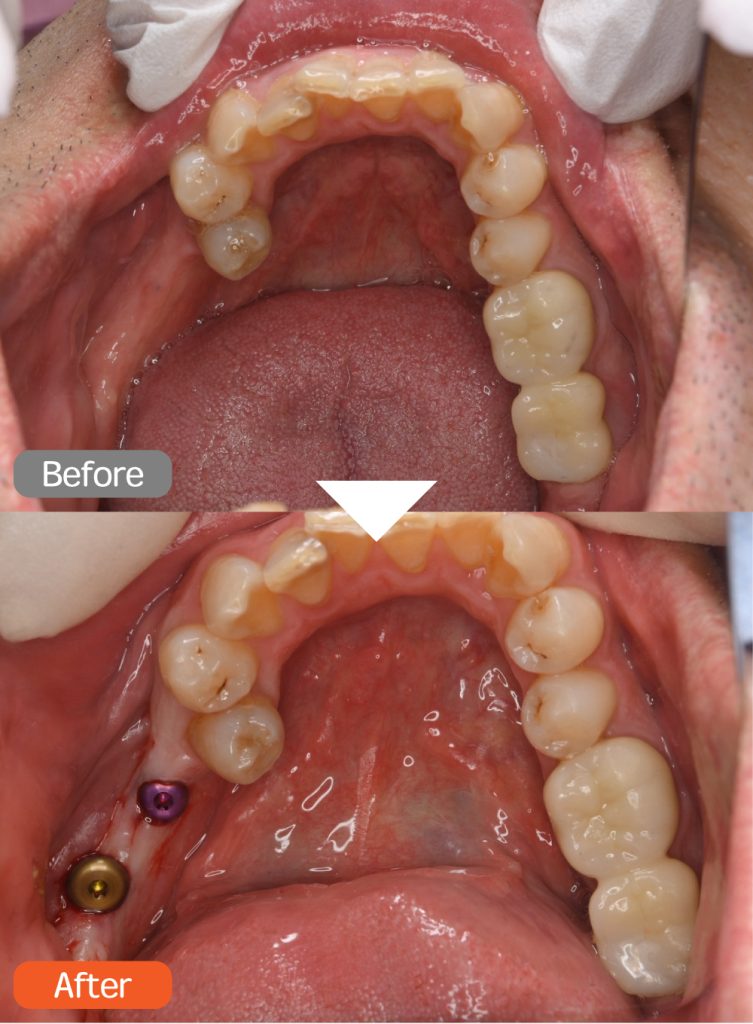
切らないインプラント治療も
当院では、特殊な技術と設備が必要なため、適応できる歯科医院が限られる「切らないインプラント治療」も対応可能です。
お悩みや相談事を聴き、患者様と一緒に治療方針を考えます
インプラントはあくまで一つの手段
患者様の要望にしっかり寄り添います
口腔内全体に問題がある、歯がところどころ欠けている、グラグラしている歯があるなど治療が複雑になるような症例に対しては、患者様の要望をしっかり時間をかけてヒアリングさせて頂き、最適な治療をご提案します。
最終的に口腔内に入る装置の種類は多々あり、その中の一つとしてインプラント治療があります。
インプラント治療を応用しながら快適な食生活を送ってもらえるような結果を目指しています。
場合によっては取り外しの義歯の方がいい場合などもあるため、治療を進めている過程でその都度、最適な治療を提案させて頂きます。
インプラント治療を無理強いするようなことはありませんので、ご安心下さい。

| 20歳~70歳まで |
| 健康な方であれば、基本的に70歳まで治療を受けることが可能です。80歳を超えても治療可能な場合があります。 |
| 妊娠中の方 |
| 妊娠中はリスクがあるため、出産後や授乳終了後に治療を開始することをおすすめします。 |
| 18歳以下の方 |
| 顎の骨の成長が終わっていないため、インプラント治療は行えません。 |
健康であれば、多くの年齢層で治療が可能です。
インプラント治療のリスクについて
| 感染症や炎症 | 歯ぐきや骨に感染が入る可能性があります。 |
| 骨とインプラントの結合不良 | 骨との結合が不完全な場合もありますが、適切な処置で解決可能です。 |
| 金属アレルギー | チタンアレルギーがある方は事前にご相談ください。 |
| 術後メンテナンス | インプラントを長持ちさせるためには、定期的なメンテナンスが重要です。 |
インプラント治療は外科的な手術を伴いますが、リスクを十分に理解し、対策を講じることで安全に進められます。

抜歯即時埋入法
迅速で痛みの少ない治療法です。
抜歯即時埋入法は、歯を抜いたその場でインプラントを埋め込む方法です。これにより治療期間が短縮され、外科手術が1回で済みます。
メリット
- 治療が1回で完了
- 治療期間が短く、腫れや痛みが少ない
- 骨の吸収を抑えられる
デメリット
- 骨の厚みが足りない場合は適用できないことがある
- 限られた歯科医院でのみ対応可能
抜歯待時埋入法
2回の手術で安定した治療法です。
抜歯待時埋入法では、抜歯後に顎の骨が安定してからインプラントを埋め込みます。リスクを最小限に抑え、より安定した治療を目指します。
メリット
- 顎の骨が安定してから治療を進めるため、インプラントの位置が最適に
- 感染症のリスクが低減
- 幅広い症例に対応可能
デメリット
- 治療期間が長くなる
- 外科手術が2回必要

切らないインプラント治療
抜当院では「切らないインプラント治療」も対応可能です。
「切らないインプラント治療」では、歯ぐきを切開せずにインプラントを埋め込むため、手術後の痛みや腫れを最小限に抑えることができます。体への負担が少ないので、回復が早く、手術時間も短縮されます。しかし、特殊な技術と設備が必要なため、適応できる歯科医院が限られます。
メリット
- 切ったり縫わないため体への負担が少ない
- 腫れたり痛みが抑えることができる
- 手術時間の短縮になる
デメリット
- 適応にならない症例がある
- 高度な技術が必要になるため、手術できる歯科医師が限られる
- 費用が高額になる場合がある

- カウンセリング・インプラント治療についての説明
- お口の状態を確認し、治療方法や流れについて説明します。
- 精密検査
- アゴの骨の状態をCTで確認
この検査によってインプラントのサイズ確認やインプラントと重要な組織との立体的な位置関係を確認します。
- 治療計画のコンサルテーション
- 治療方法、補綴方法、合併症のリスク、金額など説明して、同意をいただけた後治療を開始します。
- 手術
- インプラントを顎の骨に埋め込む手術を行います。
- アバットメント装着
- 骨が安定したら、人工歯の土台となる部分を取り付けます。
- 人工歯の装着
- 最後に、見た目や噛み合わせを確認しながら人工歯を装着します

インプラントは、前歯から奥歯まで、1本でも複数本の歯にも対応できます。
特におすすめなのは
- 硬い物をしっかりかめるようになりたい方
- 入れ歯やブリッジが合わない方
- 自然な見た目の歯を手に入れたい方
インプラントは天然歯に近い見た目と機能を提供し、周囲の歯に負担をかけません。美しい仕上がりと快適な生活を取り戻すことができます。
費用や治療期間について
歯を失ったときに選択できる治療法としては、ブリッジ、入れ歯、インプラントがあります。インプラント治療は自費診療となるため、費用が高額になる場合がありますが、長期的に見て他の治療法よりもコストパフォーマンスに優れている場合もあります。
- ①手術の有無
- インプラント治療では、顎の骨にインプラント体を埋め込むための手術が必要です。
ブリッジや入れ歯では、手術は必要ありません。
- ②保険適用の有無
- インプラント治療は自費診療となるため、治療費が高額になる可能性があります。
1本あたりの相場は、30~50万円程度です。
ブリッジや入れ歯は保険が適用されることがほとんどですが、使用する材料によっては自費治療となることもありますので、予算や希望に応じて選択可能です。
- ③治療にかかる期間
- インプラント治療は、顎の骨の状態や治療箇所、本数によって治療完了まで3ヶ月~1年程かかる場合があります。
インプラントは人工歯根が顎の骨に完全に定着するまでに時間がかかるため、治療期間が長くなります。
入れ歯の場合は、だいたい1~2ヶ月で完了します。最短で3回の通院で入れ歯を作成できますが、その後調整が必要です。
- ④手入れやメンテナンスの方法
- インプラント治療では、天然歯と同じようにハミガキや歯間ブラシを使用してブラッシングができます。
また、インプラント周りのクリーニングや状態チェックのために、定期的に歯科医院に通う必要があります。
ブリッジや入れ歯の場合は、口腔内から取り出し、専用のブラシや洗浄剤を使って清掃する必要があります。
ブリッジや入れ歯を装着したままで生活していると、すき間に汚れがたまり、不衛生になる恐れがあります。毎日、口の中から取り出して清掃し、清潔を保つことが求められます。

-
インプラント治療は保険が適用されますか?
-
インプラント治療は自費診療となり、保険は適用されません。
-
手術後、痛みや腫れはありますか?
-
多少の痛みや腫れが生じることがありますが、痛み止めを処方しますのでご安心ください。
-
治療後、運動しても大丈夫ですか?
-
激しい運動や飲酒は避け、しばらく安静にしてください。
-
インプラントのメンテナンスは必要ですか?
-
はい、定期的に歯科医院でチェックとクリーニングを行うことが大切です。
-
インプラント治療費用はなぜ高いの?
-
絶対的な理由としては保険が利かないということがあります。また歯は身体を構成する一つの組織です。
インプラント治療は失った身体の組織を取り戻す治療となるため高額であることは明白です。それ以外には歯科医師の技術力(経験値、知識の日々のアップデート、患者様からの信頼など)、スタッフによるインプラント治療のための準備(器具の滅菌、清潔な手術環境の構築など)、
予約時間の確保(インプラント治療に集中するための一般患者様の予約制限)など医院全体で取り組む医療になります。
安価な治療をするために安全性を確保しないとなると信頼も揺らぎ、理念に基づく治療ができなくなります。
そのため当医院ではインプラント治療の価値観を高く保ち、ひいては歯への価値観を高くもっていただけるような金額設定にしております。
-
インプラント治療は痛いの?
-
治療部位にはしっかり麻酔をしますので、治療中は痛みがない状態でインプラント治療を受けられます。
術後の痛みは個人差がありますが、当日は痛み止めを服用したけど翌日からは不要だったという患者様が多い印象です。
術後から激痛が生じるような場合はインプラント治療による影響の可能性が高いため早急な対応が必要となります。
-
インプラント治療は一番いい治療ですか?
-
治療により期待される成果、治療費用や期間、残っている歯への負担の配慮などがその患者様にとってマッチする場合には一番いいと言ってもいいかもしれません。
しかし、必ずしもお口の中の状態や全身の状態によってはインプラントが適さないこともあります。
患者様が期待する結果とこちらが提供できる治療をすり合わせて患者様ー歯科医師間の共通認識を増やしていきます。そのためにしっかりとした相談時間が重要です。
あなたもインプラント治療を考えてみませんか?
もしあなたが硬いものを食べたい、自然な見た目にしたい、ブリッジや入れ歯に不満があるなら、インプラント治療が最適です。今すぐ、あなたの口元に合った治療法を見つけましょう!
お気軽にお問合せください。

