【インプラント症例】銀歯の歯を白くしたい インプラント ジルコニアインレー ビフォーアフター
こんにちは。
綾瀬駅徒歩3分のところにある、Мデンタルクリニック綾瀬です。
今日は銀歯の歯を白くしたいという30代女性の症例をご紹介します。昔の治療箇所が気になる方、どうぞ参考にご覧ください。
30代女性
| ■ご希望 | 銀歯を歯を白くしたい |
| ■治療 | ジルコニアインレー |
| ■治療期間 | 1週間 2回 |
| ■費用 | 88,000円(税込) |
| ■リスク | ・歯がしみる可能性 ・仮蓋がとれる可能性 ・咬合違和感 |
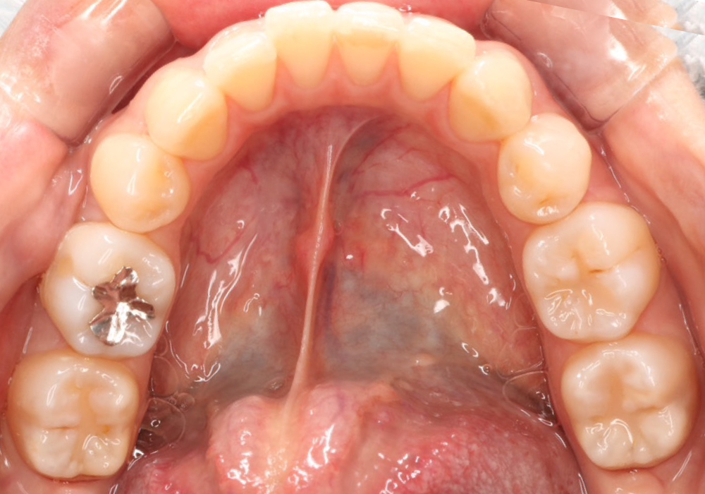
治療前

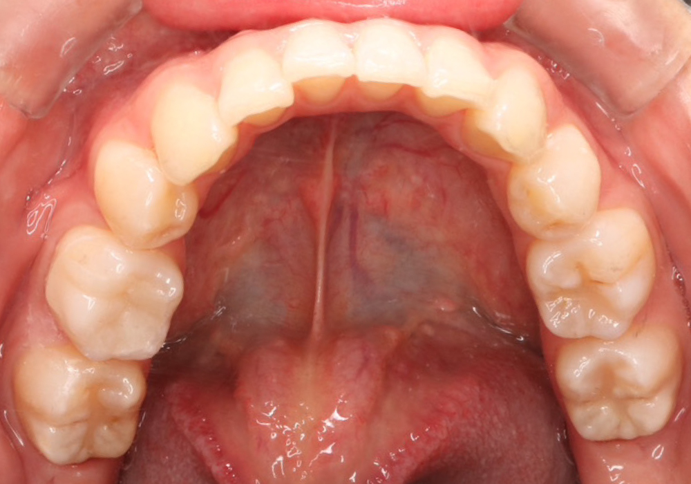
治療後

当医院のインプラントについては、専用ページで詳しくご紹介しておりますので、ぜひあわせてご覧ください。
インプラントページ
インプラント治療は方法がいくつかあります。
どの治療法が自分に合っているかわからない、不安な点は、歯科医院で相談しながら選ぶと安心です。
歯の事で、少しでも気になることや、お悩みの事がありましたら、まずはお気軽にご相談下さい。
お電話でのお問い合わせ、ご予約はこちらからお気軽にお問い合わせ下さい。
03-6312-0876
インプラント専門医も在籍しておりますので、専門店的な治療が可能です。
治療もメンテナンスも、綾瀬の地域の皆様に寄り添い信頼される歯科医院を目指しております。どうぞ、よろしくお願いします。



