【インプラント症例】気になる歯をインプラントに インプラント 抜歯 インプラント手術

こんにちは。
綾瀬駅徒歩3分のところにある、Мデンタルクリニック綾瀬です。

今日は、インプラントの症例をご紹介します。今回はだめな歯のところにインプラントをいれたいという40代男性の症例をご紹介します。気になる歯がどんどん悪化してきた、固いものが最近食べづらいという方、どうぞ参考にご覧ください。

当院では、インプラント専門医が在籍し、気になる費用やリスクも分かりやすく説明して治療に入りますので、お気軽にご相談くださいね。

40代男性
ご希望だめな歯のところにインプラントをいれたい。
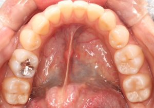
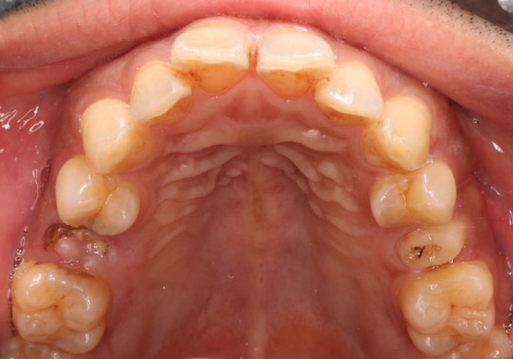
■治療抜歯即時
抜歯して当日に抜歯部位にインプラント手術を行うこと
治療期間3ヶ月から6ヶ月
■費用484,000円(税込)
■リスク・出血・腫脹・疼痛
・インプラント体の破折、脱落
・インプラント周囲炎
抜歯
インプラント手術

当医院のインプラントについては、専用ページで詳しくご紹介しておりますので、ぜひあわせてご覧ください。
インプラントページ

インプラント治療は方法がいくつかあります。
どの治療法が自分に合っているかわからない、不安な点は、歯科医院で相談しながら選ぶと安心です。


歯の事で、少しでも気になることや、お悩みの事がありましたら、まずはお気軽にご相談下さい。

お電話でのお問い合わせ、ご予約はこちらからお気軽にお問い合わせ下さい。
03-6312-0876

インプラント専門医も在籍しておりますので、専門店的な治療が可能です。

治療もメンテナンスも、綾瀬の地域の皆様に寄り添い信頼される歯科医院を目指しております。どうぞ、よろしくお願いします。

画像に alt 属性が指定されていません。ファイル名: map-1024x932.jpg

コメントを残す

メールアドレスが公開されることはありません。 * が付いている欄は必須項目です